Issue 6 (2025): Sana’a University Journal of Medicine and Health Sciences

Published: 2025-12-28

Prevalence of anaemia among adult heart failure patients in cardiac centres, Sana’a, Yemen

Marwan Motea Naje Mosleh, Ahmed Kaid Salem, Mohammed Ahmed Hajar, Hassan Abdulwahab Al-Shamahy (Author)

387-392

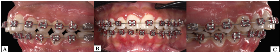
Evaluation of Plaque and Gingival Indices in Patients Treated with Fixed Orthodontic Appliances.

Samia Dammaj, Ahmed Obeyah, Fuad Almuttareb , Ahmad Kahoul, Salma Al-aqab (Author)

420- 427